What Is Nottingham Grade 2 Breast Cancer
Triple-negative breast cancer sometimes abbreviated TNBC is any breast cancer that does not express the genes for estrogen receptor ER progesterone receptor PR and HER2neu. This makes it more difficult to treat since most hormone therapies target one of the three receptors so triple-negative cancers often require combination therapiesTriple negative is sometimes used as a surrogate.

Eve Dress Wep In 2021 Lace Hem Dress Eve Dresses Vest Dress
Messages were didactic and concentrated on the dangers in the home infectious disease accident prevention and in the 1950s the diagnosis of cancer of the breast and cervix.

What is nottingham grade 2 breast cancer. O Exceptions for Grade 1 or 2 infusion related reactions to trastuzumab that were successfully managed or known allergy to one of the excipients in the study drugs. Part time - 225 hours per week applicants who wish to work a minimum of 1875 hours to the maximum of 225 hours are encouraged to apply. 17 There was little evidence that this technique largely modelled on the advertising world worked.
Have received treatment with any systemic anti-cancer therapy non-CNS radiation or experimental agent within 3 weeks prior to start of crossover therapy.

Staging Grade Breast Pathology Johns Hopkins Pathology

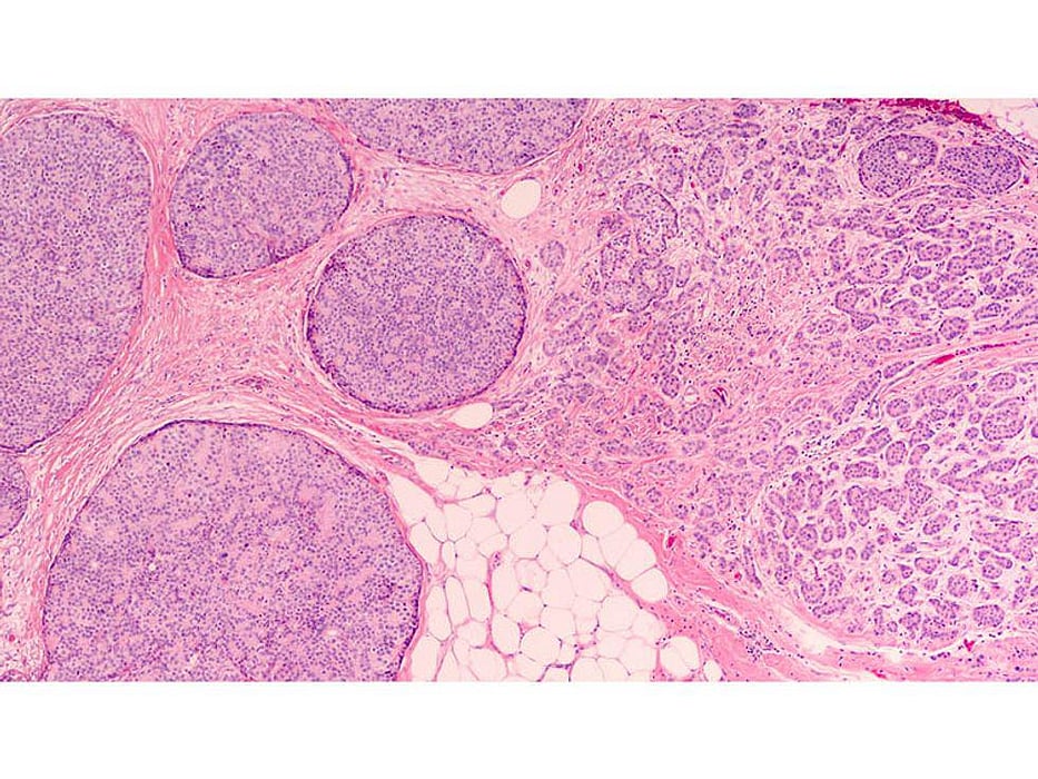
Invasive Ductal Carcinoma Of The Breast Mypathologyreport Ca

Staging Grade Breast Pathology Johns Hopkins Pathology

Staging Grade Breast Pathology Johns Hopkins Pathology

Ai Model Enhances Histologic Grading Of Breast Cancer Consumer Health News Healthday

Ductal Carcinoma In Situ Dcis Fact Sheet Westmead Bci

Histological Grade Of Breast Cancer As Assessed By The Nottingham Download Scientific Diagram
Histological Grading Of Breast Cancer

Ai Model Enhances Histologic Grading Of Breast Cancer Consumer Health News Healthday

Nottingham Grade 2 Invasive Ductal Carcinoma No Special Type Of The Download Scientific Diagram

Webpathology Com A Collection Of Surgical Pathology Images

Staging Grade Breast Pathology Johns Hopkins Pathology

Invasive Ductal Carcinoma Of The Breast Mypathologyreport Ca

Staging Grade Breast Pathology Johns Hopkins Pathology

White Cakesicles Cake Pop Decorating Lolly Cake Ice Cream Cake Pops

Photo Collage Of School Pictures K 8 Photo Collage School Pictures School Photos

Staging Grade Breast Pathology Johns Hopkins Pathology

